Smarter Cell Monitoring, Right Inside Your Incubator
The ZenCELL Owl combines compact, incubator-ready hardware with powerful smart software to deliver continuous, automated live-cell imaging—streamlining your workflow with real-time insights and zero disruption
Don’t Miss the
Smallest Detail!
Automated data analysis
24/7 long term measurement and automated data acquisition increase the validity of your assay by rising the number of tracked and analyzed data points.

High quality photos & time-lapse videos
Data can be analyzed time-resolved and dynamic changes and developments ofcell culture retrospectively down to cell level.
Simply connect the cable, launch the user-friendly software, and you're ready to go—no messy cable clutter in your incubator or lab. The compact zenCELL owl, measuring just 18 x 10.5 x 18 cm and weighing only 1.05 kg, is easy to move or remove, giving you more room for additional lab vessels.
Designed for efficiency, the system is easy to clean, disinfect, and maintain—thanks to a smart design with no moving mechanical parts.
Incubator-Ready. Lab-Friendly
Real-time,
Live Cell Imaging
From Standard Monitoring to Special Assays
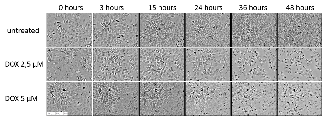
Cytotoxicity/Compound Assays
Cell Coverage Assays
Spheroids and Organoids






Formation
Proliferation
Adhesion
Permeabilization
Wound Healing/Scratch Assays
The zenCELL owl delivers real-time, automated cell monitoring—directly inside your incubator, with zero disruption and total flexibility
Stay Connected to your Cells
Automated Remote Monitoring
The zenCELL owl is your incubator microscope with 24 channels for automatedremote monitoring of cell cultures. Data capturing, imaging and analysis isperformed 24/7 in real-time. Cell cultures can be conveniently monitored fromyour PC, while saving working time and increasing data quality and quantity.The compact and lightweight device ensures space-saving and uncomplicateduse in the incubator.